国
こく
語
ご
社
しゃ
会
かい
算
さん
数
すう
・
数
すう
学
がく
理
り
科
か
英
えい
語
ご
あすなろ学習室 TOP
理科 TOP
中学校2学年
生命の部屋
細胞と体の成長
■ ヒトの感覚器官
鼻
鼻と舌は、それぞれにおいと味を受けとる感覚器官です。そのしくみを見てみよう。
鼻と舌で感じるにおいと味は、ともに化学物質を刺激として受けとります。
化学物質のうちで
鼻は空気中の化学物質を受けとります。
舌は液体中の化学物質を受けとります。
・鼻の孔の奥にあるにおいを感じる細胞が空気中の化学物質を受けとると、これが神経を通して脳へ伝えられ、においを感じます。
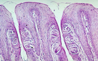
・舌の表面にある味を感じる細胞が液体中の化学物質を受けとると、これが神経を通して脳へ伝えられ、味を感じます。
味を感じる細胞の集まり(サル)
前ページへ戻る
ページTOPへ
次ページへ進む