国
こく
語
ご
社
しゃ
会
かい
算
さん
数
すう
・
数
すう
学
がく
理
り
科
か
英
えい
語
ご
あすなろ学習室 TOP
理科 TOP
中学校2学年
生命の部屋
細胞と体の成長
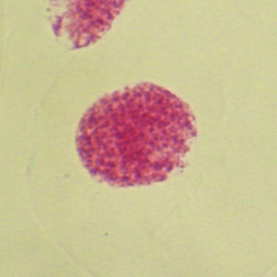
■ 細胞分裂のようす
染色体が見えるようになる
ヌマムラサキツユクサの根端を、シッフ試薬で染色したものです。
写真をクリックすると大きな画像で見ることができます。
植物細胞の分裂のようす(模式図)
・細胞分裂が始まる前は、核がはっきりした球形になっている。
・核の中にひも状のものが現れ、それがしだいに太くなり
染色体
が見えるようになり、核の形が消える。
・染色体は細胞分裂の時だけ現れる。
前ページへ戻る
ページTOPへ
次ページへ進む