国
こく
語
ご
社
しゃ
会
かい
算
さん
数
すう
・
数
すう
学
がく
理
り
科
か
英
えい
語
ご
あすなろ学習室 TOP
理科 TOP
中学校2学年
生命の部屋
細胞と体の成長
■ 根の成長と細胞
核の染色について
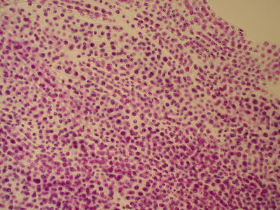
細胞内の核だけ染色した
根をそのまま顕微鏡で観察しても細胞の様子はわかりません。そこで、細胞の核の中に含まれる物質だけが赤く発色する薬品(シッフ試薬)を使って根の細胞に含まれる核を染色し、観察してみることにしました。
前ページへ戻る
ページTOPへ
次ページへ進む