国
こく
語
ご
社
しゃ
会
かい
算
さん
数
すう
・
数
すう
学
がく
理
り
科
か
英
えい
語
ご
あすなろ学習室 TOP
理科 TOP
中学校2学年
生命の部屋
細胞と体の成長
■ 動物の体と細胞
動物のいろいろな細胞 その3
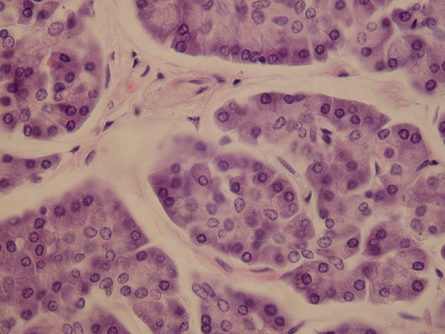
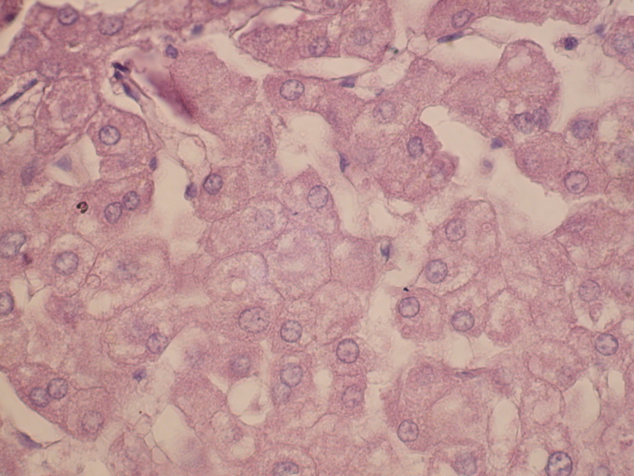
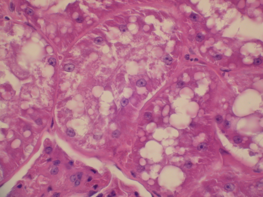
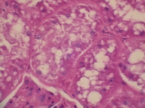
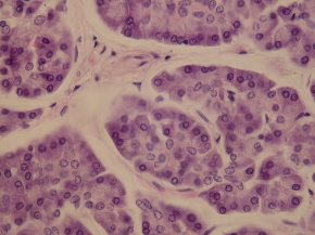
肝臓・腎臓・すい臓
肝臓
腎臓
すい臓
いずれも切片を染色したもの 写真をクリックすると大きな画像で見ることができます
肝臓、腎臓、すい臓いずれも核が染色され、細胞があるようすがわかります。
前ページへ戻る
ページTOPへ
次ページへ進む