国
こく
語
ご
社
しゃ
会
かい
算
さん
数
すう
・
数
すう
学
がく
理
り
科
か
英
えい
語
ご
あすなろ学習室 TOP
理科 TOP
中学校2学年
生命の部屋
細胞と体の成長
■ 動物の体と細胞
動物のいろいろな細胞 その1
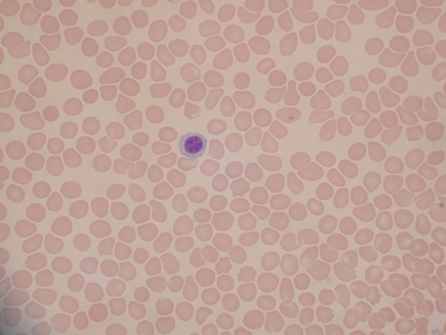
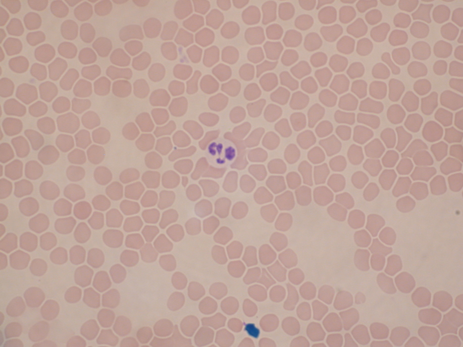
ヒトの血球
写真をクリックすると大きな画像で見ることができます
染色してプレパラートを作製したもの 光学顕微鏡で観察 白血球はいろいろな種類がある
走査型電子顕微鏡で観察 真ん中がへこんだ赤血球の形がわかる
血液中には赤血球や白血球などの細胞や血小板が遊離しているので、比較的容易に観察できます。ヒトの赤血球はその形成過程で核が消失するため無核の細胞ですが、白血球はその種類によって様々な形状の核をもちます。赤血球は血液1μl中に500万個(成人男性)もあるが、白血球は少ない。
まえページへもどる
ページTOPへ
次のページへすすむ