国
こく
語
ご
社
しゃ
会
かい
算
さん
数
すう
・
数
すう
学
がく
理
り
科
か
英
えい
語
ご
あすなろ学習室 TOP
理科 TOP
中学校2学年
生命の部屋
細胞と体の成長
■ 動物の体と細胞
動物のいろいろな細胞 その2
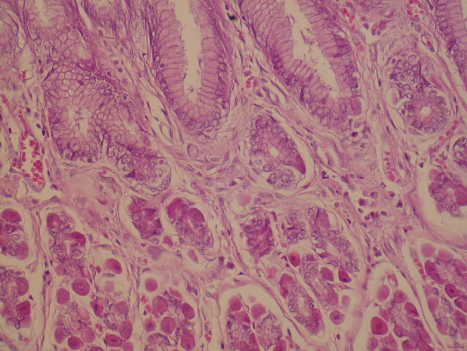
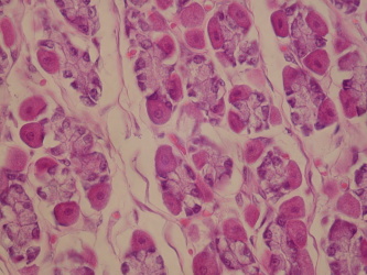
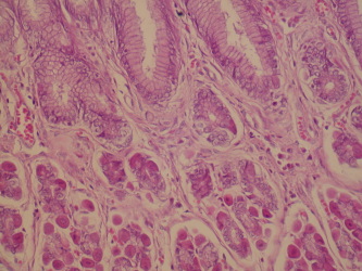
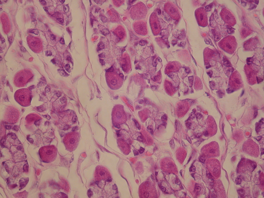
胃
胃の一部を切片にし染色したもの
右は左の写真の一部を拡大したもの
写真をクリックすると大きな画像で見ることができます
動物の内臓は柔らかく、植物の茎や葉のようにカミソリで切片をつくることが困難です。上の写真は教材用のプレパラートを観察したもので、いろいろな形の細胞があることがわかります。内臓ではいろいろな種類の細胞が集まり、それらが関連しながらはたらくことで内臓としてのはたらきが成り立っています。
前ページへ戻る
ページTOPへ
次ページへ進む