国
こく
語
ご
社
しゃ
会
かい
算
さん
数
すう
・
数
すう
学
がく
理
り
科
か
英
えい
語
ご
あすなろ学習室 TOP
理科 TOP
中学校2学年
生命の部屋
細胞と体の成長
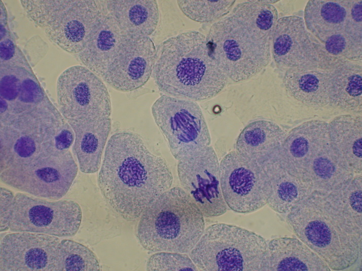
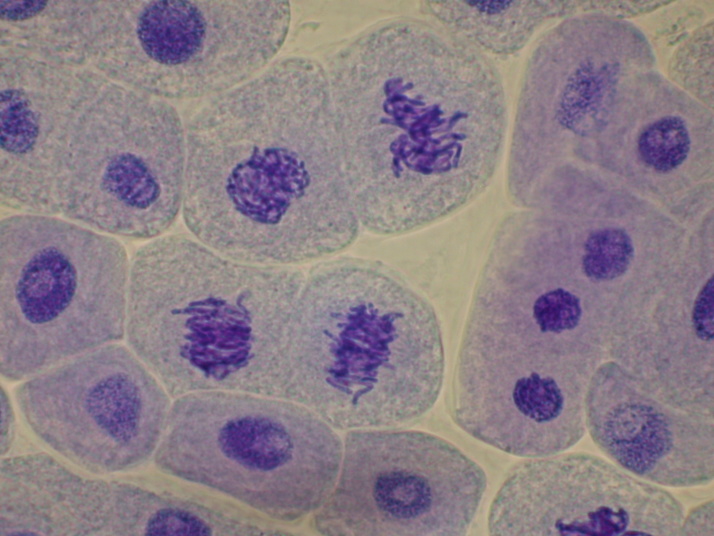
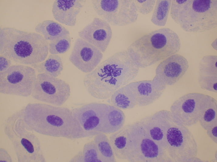
■ 細胞分裂の観察
細胞分裂 観察
下の写真は、ここまで紹介してきた酢酸ダ-リアと塩酸の混合液を用いた方法で観察したニンニクの細胞分裂のようすです。
見たい写真をクリックすると大きな写真で見ることができます。
前ページへ戻る
ページTOPへ
TOPページへ戻る